慢性スタンフォードB型大動脈解離に対するゴア® TAG® コンフォーマブル 胸部大動脈ステントグラフト アクティブコントロールシステム
弓部弯曲が急峻な若年症例におけるアクティブコントロールシステムの活用
本症例のポイント
若年者の慢性B型解離に対するTEVARで、比較的急峻な大動脈弓部形態を有している。遠位弓部にあるエントリーを閉鎖するため、急峻な大動脈弓部の頂点をやや越えた位置に中枢端を配置する必要があり、大弯側は中枢パーシャルアンカバーステントの頸部分枝入口部への侵入、小弯側ではbird beakの発生に最大限の注意が必要だが、この急峻な解剖に対しアクティブコントロールシステムが有用であった。

症例
- 37歳 男性
- B型解離発症8か月後に近位下行大動脈に存在するエントリー閉鎖を目的にTEVAR施行の方針となった。
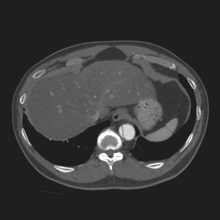
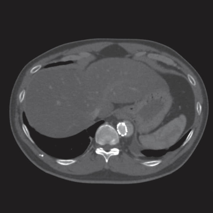
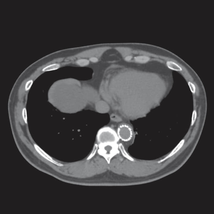
エントリーはT5レベルにあり大きさは29 mm、Zone 3大弯側の解離腔には比較的厚い(13 mm)偽腔内の血栓を認めたため、Zone 2ランディング+デブランチ(Ax-Axバイパス)の方針とした。
中枢は Zone 2の血管径32.0 mmに対して径34 mmのデバイスを選択し、末梢留置位置は下行大動脈が直線化しているTh12レベルへ、発症後1年以内であることからリモデリングを期待し、同部位真腔長径のおおよそ130%である26 mm デバイスを選択した(末梢31 mm/26 mm 10 cmテーパー、中枢34 mm/34 mm 20 cm積み上げ)。
6 mm人工血管を使用し、Ax-Axバイパスを施行。
左上腕動脈に5 Frイントロデューサシースを留置し、ビッグテールカテーテルを上行大動脈まで進行させた。
右大腿動脈をカットダウン、8 Frシースを挿入した。IVUSを用い上行大動脈まで全長にわたってカテーテルが真腔にあることを確認した。ガイドワイヤーをスティッフガイドワイヤーに変更し、22 Frゴア® ドライシール フレックス イントロデューサシースを挿入した。再度IVUSのマーカーを利用し末梢留置位置を確認してマーキングを行い、ゴア® TAG® コンフォーマブル 胸部大動脈ステントグラフト アクティブコントロールシステム TGMR 312610Jを適正な位置まで進めた。
ここからは術者がシースの固定とデリバリーカテーテルの操作を行い、助手がデリバリーしたデバイスの位置調整のためのガイドワイヤーの大弯側への押しつけと保持を行う共同操作で展開手技を行った。続いてTGMR343420Jを適正位置まで進行させた。DSAを行い左総頸動脈(LCCA)及び左鎖骨下動脈(LSA)の位置および大動脈の形状を確認した。ガイドワイヤ一を適度に押し、デバイスが大弯側に押し当てられていることを確認し、Zone 2にパーシャルアンカバーステント先端が位置するようにして一次展開を行った。デリバリーカテーテルを確実に保持することでマイグレーションを予防しつつアンギュレーションコントロールダイヤルをゆっくり回転させ、大動脈弯曲とデバイスの弯曲がフィットするよう調整した。完全展開後、 デバイス小弯側と弓部小弯側がパラレルになるようアンギュレーションコントロールダイヤルをゆっくり回転させた。
DSAを行い、エントリーからの偽腔への血流が消失したことを確認した。LSA根部にコイル塞栓を行い、血管内手技を終了した。
結果
術中術後に主要な有害事象は認めず、術後5日目に退院。術後CTでは遠位弓部偽腔の血栓化を認めた。また、術後6か月の単純CTでは胸部下行大動脈の著明なリモデリング(真腔拡大、偽腔縮小)を認めデバイスの末梢レベルではほぼ偽腔は消失した。



考察
若年症例では弓部の形状が急峻である。弓部の頂点をやや越えた位置にステントグラフト中枢端を留置する場合は、従来のステントグラフトではデバイス自体が直線化し、大弯側において頸部分枝内にベアステントが侵入することによりRTADの原因となることが懸念される。また、小弯側ではいわゆるbird beakの発生によるエンドリークが危惧される。本症例では、アンギュレーションコントロールを用いることにより本来の弓部の形状にデバイスを追従させることに成功した。さらに、アクティブコントロールシステムでは、一次展開、完全展開の2段階操作による展開が可能であるため、ステントグラフトの中間径まで一次展開を行った後に血流による影響を抑えつつ留置位置の微調整を行うことができ、最終留置位置の予想がつきやすく正確なデバイス留置が可能であった。また、慢性早期のTEVARは良好なリモデリングを確認することができた。
本資料に示される情報は完全なものではなく、すべての症例に適用できるものではありません。また、電子添文および各症例に関する医療関係者の専門的な判断の代替となるものでもありません。各患者への医療行為に関するすべての判断は、それを行う各医療関係者の責任に属するものであり、当社はこれらに関する判断、助言等を行うものではありません
本ウェブサイトは医療関係者向けです。全ての禁忌、警告、使用上の注意および有害事象に関する詳細は電子化された添付文書(電子添文)を必ずご参照ください。電子添文は常に最新版であることを、こちらからご確認ください。
弊社製品のご使用にあたっては、一部を除いて、関連学会によって策定された適正使用指針に定められた資格要件を満たしていただく必要があり、さらに弊社が提供する教育プログラムの終了が必須となります。
販売名:ゴア®CTAG胸部大動脈ステントグラフトシステム
承認番号:22500BZX00427000
一般的名称:大動脈用ステントグラフト
販売名:ゴア®ドライシール フレックス イントロデューサシース
承認番号:22800BZX00461000
一般的名称:心臓用カテーテルイントロデューサキット