遠位弓部大動脈瘤に対するゴア® TAG® コンフォーマブル 胸部大動脈ステントグラフト アクティブコントロールシステムの有用性およびKEY POINT
本症例のポイント
弓部大動脈領域でのTEVARの際、急峻な大動脈形態に対して如何に大弯側に沿わせ、かつコアキシャルにデバイス留置できるのかが、重要なポイントになる。今回、ゴア® TAG® コンフォーマブル 胸部大動脈ステントグラフト アクティブコントロールシステムを最大限活用するための段階的展開時の注意点、 ガイドワイヤー選択およびデバイス展開時のガイドワイヤー押し付けの重要性を中心に説明する。

症例
− 82歳 男性
− 遠位弓部大動脈瘤(囊状瘤:最大径56 mm 拡張部23 mm)
- 本症例は、中枢ランディング長:20 mmの遠位弓部大動脈瘤(囊状瘤)で、Zone 2ランディング+左鎖骨下動脈単純閉鎖の方針とした 。中枢ネック径:33 mm、末梢ネック径:30 mmと計測値 であったが、通常弓部大動脈領域ではコアキシャルに留置されないことから、斜めに計測しデバイスサイズを決定する。その場合中枢ネック径は34.5 mmとなり、推奨デバイス径は40 mm デバイスとなり、末梢ネック径:30 mmにおいては33% オーバーサイズとなる 。しかしながら、アンギュレーションコントロールにてコアキシャルに留置できれば、37 mmデバイス1本で推奨サイズ径となる。右上腕動脈よりピッグテールカテーテルを留置した。


- デバイス留置後、左鎖骨下動脈根部で造影し、コイル塞栓施行の判断をする方針とした 。 ガイドワイヤーに関しては、上行大動脈径を測定し、35 mm径であることからEgoist® EGU35-AC300Q (Arch Curve)* を選択し、50 mmシリンジを用いて先端部分をmanipulateした。(図1、2)


手技
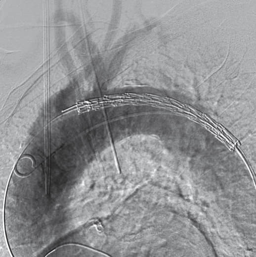
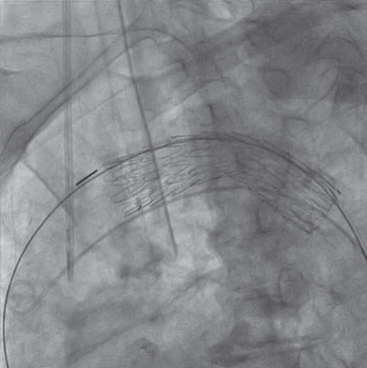
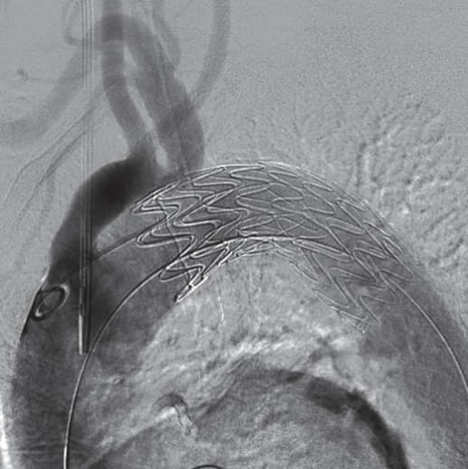
右総大腿動脈に6 Frシースを留置し、アクセスとした 。ラジフォーカスTMガイドワイヤーM**および 5 Frピッグテールカテーテルを上行大動脈まで進行させ、manipulateしたEgoist® EGU35-AC300Q (Arch Curve)ガイドワイヤーを大動脈基部まで到達させた。この時点で透視下にガイドワイヤー押し付けを行い、安定した状態で大弯側に押し付け可能なこと、左室内へ迷入しないことを確認した。22 Frゴア®ドライシール フレックス イントロデューサシースを進行させ、引き続きTAG® コンフォーマブル ステントグラフトTGMR373710Jを適正位置まで進行させた。DSAを施行し、左総頚動脈(LCCA)および左鎖骨下動脈(LSCA)の位置を確認した。ここからは、術者(ドライシールシース固定およびデリバリーカテーテルの操作)・助手(デリバリーカテーテルの固定、ガイドワイヤーの押し付け)の共同操作にて一次・完全展開を行った。ガイドワイヤーを軽く押し付けた状態で、パーシャルアンカバーステントがLCCAに若干かかる位置で一次展開を施行した。ガイドワイヤーの押し付けを加えて、LCCA直下にパーシャルアンカバーステントが位置するように微調整を行った。DSA上のZone 2レベルの小弯側に合わせて、アンギュレーションコントロールダイヤルを回転させて至適な角度に調整した。ガイドワイヤーを押し付けた状態で完全展開を施行した。DSAを施行し、コアキシャルに留置されていること、特に小弯側が至適角度で留置されていることを確認し、この時点でのアンギュレーションコントロールは必要ないと判断した。ガイドワイヤーを用いて、慎重にピッグテールカテーテルを抜去し、引き続き完全展開を施行した。DSAを施行し、エンドリークが無いことを確認した。左上腕動脈よりアクセスし、LSCA根部で造影した。DSA上、明らかなType ll エンドリークを認めず、deployment sleeve部分を含むステントグラフトにてLSCA根部が完全に被覆・閉鎖されていることが確認できた。
結果・術後経過
エンドリークを認めず、初期治療が成功した。術後脳神経学的合併症を認めなかった。術後確認CTにおいてもエンドリークを認めず、軽快退院した。
考察
段階的展開(一次・完全展開)により、ステントグラフトの適正留置位置の調整が複数回可能となった。展開動作中すべてにわたり血流を維持し、Windsock effectのリスクを低減すると考えられる。アンギュレーションコントロールにより、弓部大動脈領域においても正確・安全な留置が可能となり、コアキシャルに留置され、bird beak低減につながり、より中枢シーリング性が高まることが期待される。デバイスサイズ選択においても過度のオーバーサイズ回避が可能となり、RTADの回避にもつながると考えられた。留置の成功には、ガイドワイヤーでの安定した大弯側押し付けがkey pointとなる。それにはガイドワイヤーの選択も非常に重要で、上行大動脈径・形態に合わせて至適ガイドワイヤーをセレクトし、症例によってはガイドワイヤー先端をmanipulateすることで、安定したデバイス留置が可能となる。
*製造販売元:株式会社メディコスヒラタ
**製造販売元:テルモ株式会社
本資料に示される情報は完全なものではなく、すべての症例に適用できるものではありません。また、電子添文および各症例に関する医療関係者の専門的な判断の代替となるものでもありません。各患者への医療行為に関するすべての判断は、それを行う各医療関係者の責任に属するものであり、当社はこれらに関する判断、助言等を行うものではありません。
本ウェブサイトは医療関係者向けです。全ての禁忌、警告、使用上の注意および有害事象に関する詳細は電子化された添付文書(電子添文)を必ずご参照ください。電子添文は常に最新版であることを、こちらからご確認ください。
弊社製品のご使用にあたっては、一部を除いて、関連学会によって策定された適正使用指針に定められた資格要件を満たしていただく必要があり、さらに弊社が提供する教育プログラムの終了が必須となります。
販売名:ゴア®CTAG胸部大動脈ステントグラフトシステム
承認番号:22500BZX00427000
一般的名称:大動脈用ステントグラフト
販売名:ゴア®ドライシール フレックス イントロデューサシース
承認番号:22800BZX00461000
一般的名称:心臓用カテーテルイントロデューサキット


