本症例のポイント
外傷性大動脈損傷に特徴的なランディングゾーンの短い解剖に対するTEVARでは、正確な位置決めと確実な中枢側のシーリングが重要となる。多発外傷の処置においては複数の診療科による専門的なチームが対応可能な施設での治療が望ましく、高度救命救急センターを有する当院では外傷症例を比較的多く経験している。外傷性大動脈損傷に適応できる唯一のTEVARデバイス*であるTAG® コンフォーマブル ステントグラフト アクティブコントロールシステムを用いた症例のひとつを提示する。

症例
症例は45歳男性で列車事故のため受傷し救出されたが、意識は清明であるものの血圧60台のショック状態で、現場から救急搬送された。当院での造影CTでは近位下行大動脈損傷による破裂と周囲の縦隔血腫を認めた。他には恥坐骨と手の骨折を認めるのみで、頭部、腹部に外傷を認めなかった。緊急輸血を行いつつステントグラフトによる治療を行う方針となった。
手技
術前のサイジングで中枢ランディング径は25 mmであり、左鎖骨下動脈から大動脈損傷部までのランディング長は小弯側の測定で18 mmであった。外傷により損傷されている部位の長軸方向の長さは40 mm程度であるが、その遠位の下行大動脈は壁内血腫様の所見であった。遠位ランディング径は21-23 mmであり、ステントグラフトは28 mm-15 cmを使用することとした。
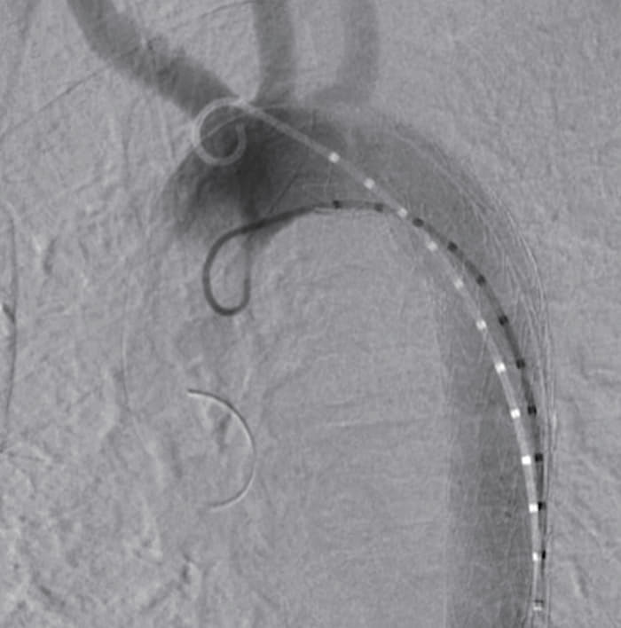
輸血で血圧を維持しつつ全身麻酔にて右鼠径部を切開し総大腿動脈を露出した。ヘパリンを投与したのち8 Frのシースを挿入、ここから注意深くピッグテールカテーテルと血管造影用ガイドワイヤーを上行大動脈まで挿入し、スティッフガイドワイヤーに入れ替えたのち、シースをゴア®ドライシール フレックス イントロデューサシース20 Frに入れ替えた。TAG®コンフォーマブル ステントグラフト アクティブコントロールシステムTGM282815Jを弓部大動脈まで挿入、造影用pigtailカテーテルを上行大動脈まで挿入ののち、LAO45度にてDSAを撮影し、左鎖骨下動脈および大動脈損傷部の位置関係を確認し、マーキングした。ステントグラフトの展開はスティッフガイドワイヤーにて大弯にステントグラフトを押し付けた状態で、中枢端のパーシャルアンカバードステントがわずかに左鎖骨下動脈にかかる程度に固定し展開した。最後にangulation controlを使用し小弯側を十分に圧着させて展開終了とした。DSAにて明らかなエンドリークのないことを確認した。また、展開後は不安定であった血圧も安定した。デリバリーシステムを回収し、右総大腿動脈を修復し、プロタミン投与ののち閉創した。手術時間は58分であり、当院搬入からステント挿入まで約130分であった。


3DCTローテーション動画


デバイス展開とアンキュレーションコントロールの動画


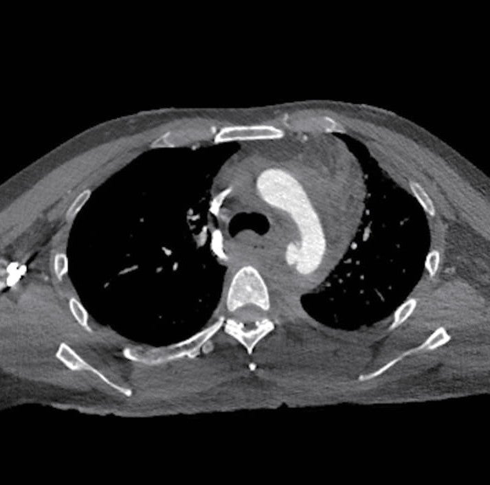
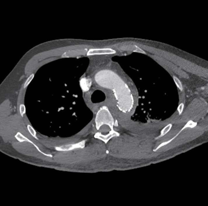
術前術後CT動画
考察
外傷性胸部大動脈損傷に対するステントグラフト治療は迅速かつ低侵襲で行うことができるため、本症例のようにすでにショックとなっている場合や、多発外傷の症例の救命のためには不可欠な治療となりつつある。
TAG®コンフォーマブル ステントグラフト アクティブコントロールシステムは外傷に対して適応となる唯一のデバイス*であり、構造的に比較的短い中枢ランディングでもシーリング効果を発揮するよう設計されている。更に、本症例ではangulation controlを用いることにより弓部小弯側の大動脈壁にステントグラフトを密着させることができ、エンドリークは生じなかった。外傷性大動脈損傷症例は中枢ランディングが短く、弓部の角度が急峻であることが多いため、小弯側ランディングが問題になるが、アクティブコントロールシステムにより従来以上にエンドリークを抑制するための機能が追加されたことで、外傷性大動脈損傷に対して更に効果を発揮できることとなったと言える。
*2021年2月時点
本資料に示される情報は完全なものではなく、すべての症例に適用できるものではありません。また、電子添文および各症例に関する医療関係者の専門的な判断の代替となるものでもありません。各患者への医療行為に関するすべての判断は、それを行う各医療関係者の責任に属するものであり、当社はこれらに関する判断、助言等を行うものではありません。
本ウェブサイトは医療関係者向けです。全ての禁忌、警告、使用上の注意および有害事象に関する詳細は電子化された添付文書(電子添文)を必ずご参照ください。電子添文は常に最新版であることを、こちらからご確認ください。
弊社製品のご使用にあたっては、一部を除いて、関連学会によって策定された適正使用指針に定められた資格要件を満たしていただく必要があり、さらに弊社が提供する教育プログラムの終了が必須となります。
販売名:ゴア®CTAG胸部大動脈ステントグラフトシステム
承認番号:22500BZX00427000
一般的名称:大動脈用ステントグラフト
販売名:ゴア®ドライシール フレックス イントロデューサシース
承認番号:22800BZX00461000
一般的名称:心臓用カテーテルイントロデューサキット