はじめに
胸部大動脈瘤に対するステントグラフト治療(TEVAR)はその低侵襲性もあり増加傾向にあるが、弓部大動脈に対しては、弯曲という解剖学的特徴によりステントグラフト中枢が追従しづらく、結果として小弯側のbird beakによるType laエンドリークが発生するリスクがあった。この問題に対し、従来のコンフォーマブル ゴア® TAG® ステントグラフトに改良を施し、ステントグラフト中枢側の角度調整が可能なデバイスであるゴア® TAG® コンフォーマブル 胸部大動脈ステントグラフト アクティブコントロールシステムが登場し、中枢シーリングゾーントラブルの減少に寄与していると考える。当院での最近の症例を提示し、その特徴および有用性について報告する。


広島市民病院
心臓・大血管低侵襲治療部
症例
- 患者:75歳、男性
- 現病歴:2019年8月背部痛にて当院救急外来に搬送され、造影CTでB型急性大動脈解離と診断、緊急入院の上降圧安静療法を開始、状態は安定し退院した。その後CTフォローアップを行っていたが、遠位弓部大動脈のulcer-like projection(ULP)が拡大傾向にあり、本人の希望もありこの度加療目的に入院となった。
- 来院時所見: SpO2 98%(O2 2L), BP 121/79, HR 97, WBC 17140, Hg 15.8 g/dL, PLT 24.3万, Cre 1.62 mg/dL, GOT 231 U/L, GPT 95 U/L, CK 417 U/L
- 胸腹部造影CT:遠位弓部大動脈の大弯側にULPを認め、拡大傾向にあった。
- 頭部MRI:左右椎骨動脈を含め、明らかな狭窄や閉塞はみられなかった。
本症例に対してはZone 2 TEVARの方針とした。頭部MRI所見から左鎖骨下動脈は単純閉鎖でも問題はないと判断した。デバイスは、ステントグラフト自体のコンフォーマビリティと角度調整が可能なデリバリーシステムを有したTAG® コンフォーマブル ステントグラフトを選択した。
手術
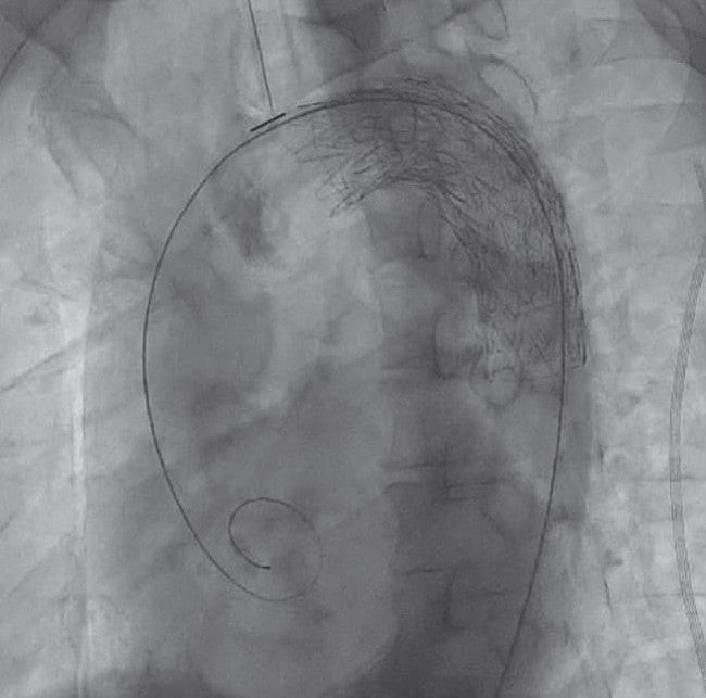
全身麻酔下、仰臥位にて手術を開始した。右鼠径部を切開し、右総大腿動脈をテーピング、タバコ縫合をおいた。ヘパリン投与後、右総大腿動脈から5 Frシースを挿入した。右総大腿動脈シースからピッグテールカテーテルを上行大動脈まで進め、ステントグラフト用ガイドワイヤーに変更、シースを20 Frゴア® ドライシール フレックス イントロデューサシースに入れ替えた。デバイスは末梢側からTAG® コンフォーマブル ステントグラフト28 mm × 10 cm、および31 mm × 10 cmを選択した。まず28 mm × 10 cmを左鎖骨下動脈末梢から留置、ついで31 mm × 10 cmを予定留置部位まで進め、造影で左総頚動脈および左鎖骨下動脈の位置を確認し、アンギュレーションコントロールダイヤルをゆっくり回しながらデバイス中枢の角度を慎重に大動脈に合わせた後に留置した。解離症例であるためバルーンによる圧着は施行せず、最終造影でエンドリークを含め異常のないことを確認し手技を終了した。手術時間は1時間11分であった。


術後経過
手術室で抜管、神経学的合併症を認めず術翌日より食事、歩行開始となった。
術後CTでは明らかなエンドリークはみられず経過良好で術後6日目に退院、引き続き外来で経過観察中である。


デバイス展開とアンギュレーションコントロールの動画
考察
TAG® コンフォーマブル ステントグラフトは従来のコンフォーマブル TAG® ステントグラフトに改良を加え、デバイスの中枢側の角度調整ができるよう工夫がされているため、急峻な弓部大動脈に対しても追従することが期待できる。特にZone 2症例に対しては、今までのデバイスであればどうしても小弯側が追従できず飛び出てしまい、これによるbird beakが問題となっていたが、TAG® コンフォーマブル ステントグラフトであれば、中枢ネック部に対しデバイスを大動脈に平行に留置することを意図したアンギュレーションコントロール機能を有するため、bird beakのリスク低減が期待でき、かつ大弯側のシーリングゾーンも有効に利用できるようになった。手技上の注意点としては、アンギュレーションコントロールダイヤルを回転させてから中枢の角度が変わるまでにタイムラグがあること、また一旦角度を曲げると元には戻せないことから、この部分の手技に対しては、数回アンギュレーションコントロールダイヤルを回し、一呼吸おいて画像をしっかり確認しながら行うことが肝要である。
また、中央部から展開する従来デバイスと異なり、TAG® コンフォーマブル ステントグラフトは末梢側から展開するため、今までは対応しづらかった腹部分枝直上に末梢を合わせないといけない胸部下行大動脈瘤症例に対しても使用しやすくなった(現在のところ末梢側から展開するのは本デバイスのみである)。
従来デバイスと比べ、デバイスにガイドワイヤーを通しづらいという問題点に対しては、我々はガイドワイヤールーメンを生理食塩水でフラッシュ後、さらに潤滑剤を2 ml程度ガイドワイヤールーメンにフラッシュさせてからガイドワイヤーを通すようにしている。この方法によりガイドワイヤーがかなりスムーズにガイドワイヤールーメンを通るようになる。このようにTAG® コンフォーマブル ステントグラフトは様々な特徴を有しており、その特徴を理解することで今後、胸部領域の治療に対する活用の機会が増えていくものと思われる。
本資料に示される情報は完全なものではなく、すべての症例に適用できるものではありません。また、電子添文および各症例に関する医療関係者の専門的な判断の代替となるものでもありません。各患者への医療行為に関するすべての判断は、それを行う各医療関係者の責任に属するものであり、当社はこれらに関する判断、助言等を行うものではありません。
本ウェブサイトは医療関係者向けです。全ての禁忌、警告、使用上の注意および有害事象に関する詳細は電子化された添付文書(電子添文)を必ずご参照ください。電子添文は常に最新版であることを、こちらからご確認ください。
弊社製品のご使用にあたっては、一部を除いて、関連学会によって策定された適正使用指針に定められた資格要件を満たしていただく必要があり、さらに弊社が提供する教育プログラムの終了が必須となります。
販売名:ゴア®CTAG胸部大動脈ステントグラフトシステム
承認番号:22500BZX00427000
一般的名称:大動脈用ステントグラフト
販売名:ゴア®ドライシール フレックス イントロデューサシース
承認番号:22800BZX00461000
一般的名称:心臓用カテーテルイントロデューサキット