Challenge
- A 70-year-old male on hemodialysis (HD) via a left brachiocephalic fistula created three years previous
- One de-clotting procedure three months previous, where a cephalic arch stenosis was identified and treated successfully with balloon venoplasty
- Increased venous pressures on HD two months later – therefore repeat procedure / intervention
Procedure
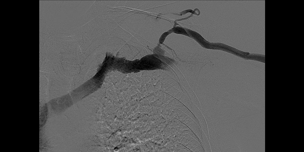
Direct left brachiocephalic fistula access. Venography demonstrated recurrent cephalic arch stenosis. Venoplasty to 7 mm with a high-pressure balloon and recoil stenosis. Upsizing of sheath access. Deployment of a 7 mm x 5 cm GORE® VIABAHN® Device, and post-dilatation.
Case Takeaways
- Symptomatic and recoil cephalic arch stenosis requires a durable solution to restore and maintain patency
- Cephalic arch is a notoriously difficult area to treat in the dialysis circuit. High rates of treatment failure and recurrent stenosis are seen with venoplasty alone
- When venoplasty fails the GORE® VIABAHN® Device offers a durable solution as it conforms very well to the anatomical configuration of the arch without kinking
- It is possible to accurately deploy a GORE® VIABAHN® Device in the cephalic arch without significant compromise to the axillary vein
- Device introduction from the fistula access (as opposed to femoral access) provides more precise control during deployment and allows more accurate positioning as the GORE® VIABAHN® Device deploys distal – proximal
- ESVS guidelines recommend that endovascular treatment with stent grafts should be considered for the treatment of cephalic arch stenosis (Recommendation 63)1
Related case study
1. Schmidli, J. et al., Vascular Access: 2018 Clinical Practice Guidelines of the European Society for Vascular Surgery (ESVS), European Journal of Vascular and Endovascular Surgery 2018 Jun;55(6):757-818

Refer to Instructions for Use at eifu.goremedical.com or a complete description of all applicable indications, warnings, precautions and contraindications for the markets where this product is available. RXOnly
INDICATIONS FOR USE IN EUROPE: The GORE® VIABAHN® Endoprosthesis with PROPATEN Bioactive Surface is indicated for the treatment of:
- de novo or restenotic lesions in the iliac arteries
- de novo or restenotic lesions in the superficial femoral artery and proximal popliteal artery
- in-stent restenotic lesions in the superficial femoral artery and proximal popliteal artery
- stenosis or thrombotic occlusion at the venous anastomosis of synthetic arteriovenous (AV) access grafts and in the venous outflow of dialysis access circuits, including the central veins
- popliteal artery aneurysms and isolated visceral artery aneurysms
- traumatic or iatrogenic vessel injuries in arteries that are located in the chest cavity, abdominal cavity, or pelvis (except for aorta, coronary, innominate, carotid, vertebral, and pulmonary arteries)
CONTRAINDICATIONS:
- Non-compliant lesions where full expansion of an angioplasty balloon catheter was not achieved during pre-dilatation, or where lesions cannot be dilated sufficiently to allow passage of the delivery system.
- Do not use the GORE® VIABAHN® Endoprosthesis with PROPATEN Bioactive Surface in patients with known hypersensitivity to heparin, including those patients who have had a previous incident of Heparin-Induced Thrombocytopenia (HIT) type II.





