治療戦略と長期予後観察の一例
長区域慢性完全閉塞に対するゴア® バイアバーン® ステントグラフト留置時、コラテラル血管の温存とヘルシーランディングのポイントに悩む一例
チャレンジングポイント
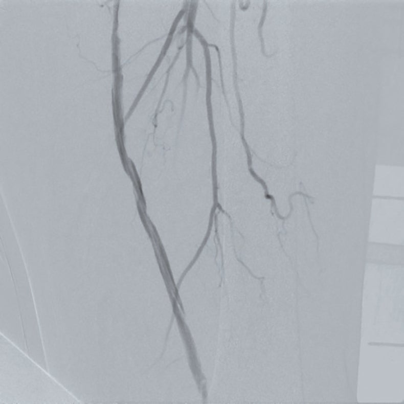
当症例は、20 cmを超える浅大腿動脈長区域病変(図1)である。一般的に、バルーンでの拡張後の解離が修復できなかったり、プラークの圧着が不充分な場合には、ステントなどのスキャフォルドが必要になる。治療当時はベアメタルステントの成績も期待が持てず、薬剤溶出型ステント(DES)の成績も未知数であったが、ゴア® バイアバーン® ステントグラフトに関しては、唯一20 cm以上の病変長でも適応があり、25 cmまでの長区間病変での成績1,2も発表されているので、成績に期待が持てた。
高度石灰化病変では、充分な前拡張が困難であるが当症例は石灰化がそれほど高度ではなく、充分に前拡張が行えればバイアバーン® ステントグラフトの拡張も期待通りに得られると予想された。
当症例の悩ましいポイントは、バイアバーン® ステントグラフトの適切な留置時ポイントの一つがヘルシーランディングを行うことであるが、造影上CTO病変遠位部に発達したコラテラル血管があり、そのコラテを温存してバイアバーン® ステントグラフトをヘルシーランディングできるかどうかであった。

患者背景・病変背景
- 70歳代 男性
- 対象病変部位:左SFA Mid-CTO
- リスク因子:HT, COPD
- Rutherford 分類:2
- TASC II 分類:D
- 病変長:23 cm前後
- 特徴的な所見:CTO病変
治療戦略
ガイドワイヤー病変通過後〜ステント留置まで
当院では、通常IVUSと造影で閉塞部両端のプラークの少ない健常部と思われる部分をマーキングし、ヘルシーランディングのポイントをIVUSを用いて確認している。この時、メジャーを貼っておいて位置確認に使用すると位置のずれを気にせず作業できる。当症例では、コラテ(図1矢印①)を温存しながら、ヘルシーランディングを行う戦略とし、前拡張を行うこととした。また、IVUSで計測された血管径から至適と思われるサイズ(遠位健常部の血管径が一つの目安になる)のバルーンにて前拡張を行うことにしており、バルーンの径サイズは遠位健常部の血管径に合わせると余計な解離なく拡張できると考え、また、バイアバーン® ステントグラフトを使用する場合には、5 mm以上のバルーンサイズで拡張できるか検討することにしている。さらに、200-300 mm長のロングバルーンで1-2回の長時間拡張(当院では3-5分)を行うと期待する拡張が得られやすいと考えており、当症例では、径6.0/長300 mm セミコンプライアントバルーンで前拡張を行った。
前拡張後の造影で温存したいコラテ部分に解離が認められ(図2)、また、IVUSでヘルシーランディングが可能な位置を確認したところ、遠位部のコラテ(図1矢印②)を温存してヘルシーランディングができることを確認できた。さらにIVUSで血管径を確認し、同等サイズのバイアバーン® ステントグラフトを留置した。バイアバーン® ステントグラフトが展開し始めた後、展開ラインをゆっくり連続した動作で引くようにするとバイアバーン® ステントグラフトの位置がずれることなく留置することが可能であった。その後、バイアバーン® ステントグラフト全長を同径のバルーンで高圧後拡張してIVUSでバイアバーン® ステントグラフトが充分拡張されていることを確認し、手技を終了した。(図3)



バイアバーン® ステントグラフト選択理由
当症例は、ガイドワイヤー通過後の評価として、病変長が250 mm弱と比較的長く、当症例に対する使用機器の決定時において、従来のステント治療では、ステントを2本以上使用する必要があると考えられた。また、IVUSにてプラークは石灰化が少なく、比較的柔らかい病変であったことから、前拡張を充分行ってからバイアバーン® ステントグラフトを留置することで充分な内腔を確保しつつ病変内をフルカバーすることが可能と予測された。
実際、前拡張に径6.0 mmのロングバルーンを用いて長時間拡張を行ったところ造影上、長い解離が明らかで、IVUS上もプラークの圧縮は不充分であった。ベアメタルステントでの長期予後が期待できないこと、薬剤コーティングバルーン(DCB)を使用するには解離が大きいことや保険償還の観点から、当症例でのデバイス選択としてはバイアバーン® ステントグラフトが長期予後を期待できると考えた。
使用デバイス
- シース:6 Frガイディングシース 55 cm長
- 造影カテーテル:4 Fr形状 JR4 90 cm長
- ガイドワイヤー:
- 0.018 inch テーパードガイドワイヤー(先端荷重30 g)
- 0.018 inch ノンテーパードガイドワイヤー knuckle wire 法で使用
- 前拡張バルーン:径6.0/長300 mm (セミコンプライアント)
- ステント:バイアバーン® ステントグラフト 径6.0/長250 mm
- 後拡張バルーン:径6.0/長300 mm (セミコンプライアント)
- その他:止血弁、IVUS
術後経過・フォローアップ
治療後は翌日から左下肢は暖かくなり、間歇性跛行もなくなっている。その後2年経過しているが、経過は良好である。
エコーフォローアップの詳細
PSVR:術後6か月 1.94 → 術後12か月 0.58 → 術後24か月 0.78
ABI値:左/術前0.68 → 術後1.00 → 術後12か月 1.16 → 術後24か月0.85
服薬のプロトコール (抗血小板剤)
当院では、術後の服薬については、人工血管であることから、留置後6か月は念のためDAPTを使用するように心掛けている。当症例もクロピドグレル硫酸塩75 mgとアスピリン100 mgを当初内服して頂き、術後6か月後に大腸ポリープが見つかったこともあり、クロピドグレル硫酸塩のみのSAPTに減量している。
また、Afの患者に関して、HBRであれば、当初3-6か月だけDOAC + クロピドグレル硫酸塩とし、その後、DOACのみに減量している。
コメント
当症例は比較的石灰化の少ない長区間のCTO症例であり、臨床成績の観点や長さ20 cm以上の病変に対しても薬事適応が認められているデバイスであるという観点もふまえて、バイアバーン® ステントグラフトを選択した。当症例において、IVUS所見からは血管径が6.0 mmあり小血管ではないことや、留置位置となるレファレンス上下ともヘルシーランディングが可能かを確認したうえで、バイアバーン® ステントグラフトを留置した。コラテラル血管の温存が悩ましい症例であったが、より遠位部のコラテラル血管も温存できることもあり、ヘルシーランディングを重視し、コラテ血管をバイアバーン® ステントグラフトでカバーし、病変をフルカバーすることで再狭窄の懸念も少なく、長期予後を期待できると考えた。
また、デバイス留置に際しても、上下の位置をピンポイントで決めて留置しやすく、留置位置がずれる心配が少ないこともバイアバーン® ステントグラフトの魅力の一つであると考える。
治療前後の造影動画
- Zeller T, Peeters P, Bosiers M, et al. Heparin-bonded stent-graft for the treatment of TASC II C and D femoropopliteal lesions: the Viabahn-25 cm Trial. Journal of Endovascular Therapy 2014;21(6):765-774,
- Lammer J, Zeller T, Hausegger KA, et al. Heparin-bonded covered stents versus bare-metal stents for complex femoropopliteal artery lesions: the randomized VIASTAR trial (Viabahn endoprosthesis with PROPATEN bioactive surface [VIA] versus bare nitinol stent in the treatment of long lesions in superficial femoral artery occlusive disease). Journal of the American College of Cardiology 2013;62(15):1320-1327.
https://www.sciencedirect.com/science/article/pii/S0735109713025941
本資料に示される情報は完全なものではなく、すべての症例に適用できるものではありません。また、電子添文および各症例に関する医療関係者の専門的な判断の代替となるものでもありません。各患者への医療行為に関するすべての判断は、それを行う各医療関係者の責任に属するものであり、当社はこれらに関する判断、助言等を行うものではありません。
本ウェブサイトは医療関係者向けです。全ての禁忌、警告、使用上の注意および有害事象に関する詳細は電子化された添付文書(電子添文)を必ずご参照ください。電子添文は常に最新版であることを、こちらからご確認ください。
弊社製品のご使用にあたっては、一部を除いて、関連学会によって策定された適正使用指針に定められた資格要件を満たしていただく必要があり、さらに弊社が提供する教育プログラムの終了が必須となります。
販売名:ゴア® バイアバーン® ステントグラフト
承認番号:22800BZX00070000
一般的名称:ヘパリン使用中心循環系ステントグラフト