ステント内再狭窄の治療成績向上への期待
初回治療時47歳の女性。病変長190 mmの左浅大腿動脈慢性完全閉塞に対し、薬剤コーティングバルーン(DCB)での治療完結を狙ったが、末梢にDCB 5 mm × 150 mmと中枢にDCB 6 mm × 100 mmを拡張後、解離と血栓形成によるno reflowとなり血栓吸引などでも対応できなかった。そのため、やむを得ず中枢に薬剤溶出性ステント(DES)6 mm × 120 mmを留置しbailoutした症例である。治療後2年のフォローアップ時に、エコー検査でDESの中枢および末梢にPSVRa2.5の再狭窄が認められたが、その後コロナ禍で受診されなくなった。治療4年後に間歇性跛行で再来、全長210 mmのステント内閉塞であった。末梢にゴア® バイアバーン® ステントグラフト6 mm × 150 mmを初回のDCB治療位置よりも末梢に留置し、中枢にはバイアバーン® ステントグラフト6 mm × 150 mmを左大腿深動脈を温存する形で留置し、良好なflowを確認して終了した。ステントグラフト治療後1年となり再狭窄なく経過良好である。浅大腿動脈においてバイアバーン® ステントグラフトが、臨床治験1や市販後調査2において複雑病変における良好な成績を示してきたことは言うまでもない。一方でステント内再狭窄病変は、de novo病変に比べ圧倒的に治療成績が悪い現状がある。バイアバーン® ステントグラフトは、ステント内再狭窄病変の治療成績を一気に向上させる可能性のあるデバイスであると期待している。

患者背景・病変背景
- 年齢:52 歳
- 性別:女性
- 対象病変部位:左浅大腿動脈
- リスク因子:糖尿病/糖尿病網膜症治(ヘモグロビンA1c 9.4%)、肥満(BMIb 31.9)
- Rutherford 分類:3 度
- TOSAKA 分類:3
使用デバイス
- シース:6 Fr 45 cm ガイディングシース
- ガイドワイヤー:0.014 inch(先端荷重 1 g, 15 g, 40 g)
- 前拡張バルーン:4.0 mm × 300 mm
- ステントグラフト:バイアバーン® ステントグラフト 6.0 mm × 150 mm(JHJR061502J)× 2本
- 後拡張バルーン:6.0 mm × 150 mm 高耐圧バルーン
治療戦略、治療内容
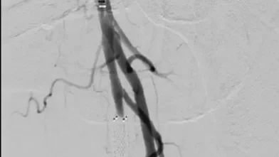
本症例は、初回治療2年後フォローアップ時のエコー所見から、DESの中枢および末梢の病変が閉塞の原因となった可能性が高い。同部位はDCBおよびDESで治療されているにもかかわらず、2年で再狭窄を呈していることから、drug technologyを用いたバルーンおよびステントでの治療は許容できないと判断した。BMI 31.9の肥満であったため右総大腿動脈より対側山越アプローチとした。6 Fr 45 cmガイディングシース + 5.5 Frシースバックアップ下に血管内超音波(IVUS)ガイドで臨んだ。エコー所見どおりDESの中枢および末梢病変は非常に強固であったため、ガイドワイヤー(40 g)で通過した。DES内の病変は非常に柔らかく、ガイドワイヤー(1 g)で通過、DCBのステント内閉塞はガイドワイヤー(15 g)を用い、IVUS下に確実に真腔内で通過した。0.014 inchガイドワイヤーの場合、ガイドワイヤーはステントストラットを容易に通過する。そのため、複数方向からの透視やIVUSを用いることで、確実にステント内を通過していることを確認することが必要となる。また、ステント内はhealthy landingではないことから、確実に前回のステントを最低1 cm以上越えて留置すべきである。DESの再狭窄は、culprit以外が柔らかい赤色血栓であることが多く、この症例もガイドワイヤーの感覚から同様の所見が疑われた。末梢塞栓予防に造影カテーテルによる可及的血栓吸引を行い、バルーン4.0 mm × 300 mmで前拡張をした。末梢病変はバイアバーン® ステントグラフト6 mm × 150 mmを留置、中枢は左浅大腿動脈起始部から10 mmのhealthy landingが残存していたため、同部位よりステントグラフト6 mm × 150 mmを留置した(図1)。高耐圧バルーン6.0 mm × 150 mmで後拡張を行い(図2、図3)、十分にgainを確保し良好なflowで終了した。治療時間は40分、造影剤使用量は70 mL であった。



一連の動画再生
a PSVR:peak systolic velocity ratio
b BMI:Body Mass Index
- Ohki T, Kichikawa K, Yokoi H, et al. Outcomes of the Japanese multicenter Viabahn trial of endovascular stent grafting for superficial femoral artery lesions. Journal of Vascular Surgery 2017;66(1):130-142.e1. http://www.sciencedirect.com/science/article/pii/S074152141730383X
- Iida O, Ohki T, Soga Y, et al. Five-Year outcomes of the GORE VIABAHN Endoprosthesis for the treatment of complex femoropopliteal lesions from a Japanese post-market surveillance study. Vascular Medicine 2024;29(4):416-423. https://journals.sagepub.com/doi/10.1177/1358863X241233528
本資料に示される情報は完全なものではなく、すべての症例に適用できるものではありません。また、電子添文および各症例に関する医療関係者の専門的な判断の代替となるものでもありません。各患者への医療行為に関するすべての判断は、それを行う各医療関係者の責任に属するものであり、当社はこれらに関する判断、助言等を行うものではありません。
本ウェブサイトは医療関係者向けです。全ての禁忌、警告、使用上の注意および有害事象に関する詳細は電子化された添付文書(電子添文)を必ずご参照ください。電子添文は常に最新版であることを、こちらからご確認ください。
弊社製品のご使用にあたっては、一部を除いて、関連学会によって策定された適正使用指針に定められた資格要件を満たしていただく必要があり、さらに弊社が提供する教育プログラムの終了が必須となります。
販売名:ゴア® バイアバーン® ステントグラフト
承認番号:22800BZX00070000
一般的名称:ヘパリン使用中心循環系ステントグラフト
