ステント内再狭窄における新たな治療オプション
下肢末梢動脈疾患の治療で浅大腿動脈(superficial femoral artery:SFA)に “full metal jacket“ で留置されたステントが閉塞すると、多量の血栓の存在や病変が術前より長くなるなど複雑化する傾向にあり、再治療に難渋することが多い。治療オプションとしてはplain old balloon angioplasty(POBA)やdrug coated balloon(DCB)、レーザーなど多岐に及ぶが、長区間病変では半年程度で再閉塞してしまうことも稀ではない。そういった再治療に難渋する症例において、ゴア® バイアバーン® ステントグラフトを用いることで、有効な結果が得られることがしばしば経験される。ステント内再狭窄(in-stent restenosis:ISR)病変に対するバイアバーン® ステントグラフトの有効性が示された代表的な試験としてRELINE研究1がある。POBAとバイアバーン® ステントグラフトを比較した無作為化比較試験であるが、平均病変長17–19 cmのISR病変を有する患者83名が登録され、1年後の一次開存率はバイアバーン® ステントグラフト74.8%、POBA28.0%で、バイアバーン® ステントグラフトの一次開存率はPOBAと比較し有意に高かった(P < 0.001)。またRELINE MAX研究2はISR病変に対するバイアバーン® ステントグラフトの有効性を評価したシングルアームの市販後調査であるが、3年の成績が報告されている。患者86名が登録され、コアラボ計測での病変長は12.4 cm、29.1%がステント全長にわたるin-stent occlusion(ISO)病変を有したが、1年後の一次、二次開存率は74.7%、95.6%で、1年、3年後の再治療回避率はそれぞれ84.8%、65.0%と優れた成績が示されている。以下にバイアバーン® ステントグラフトで長期開存したISO症例を提示したい。



患者背景・病変背景
- 年齢:60 歳代
- 性別:男性
- 対象病変部位:左 SFA ISO
- リスク因子:糖尿病、高血圧
- Rutherford 分類:3 度
- TOSAKA 分類:3
使用デバイス
- シース:6 Fr
- ガイドワイヤー:0.014 inch(先端荷重 2.8 g、12 g)
- 前拡張バルーン:4.0 × 250 mm バルーン
- ステントグラフト:バイアバーン® ステントグラフト
- 6 mm × 250 mm(JHJR062502J)
- 6 mm × 100 mm (JHJR061002J)
- 後拡張バルーン:5.0 mm × 220 mm バルーン
- その他デバイス:なし
治療戦略、治療内容
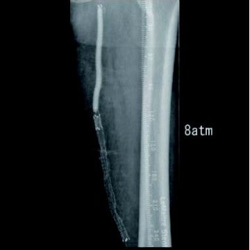
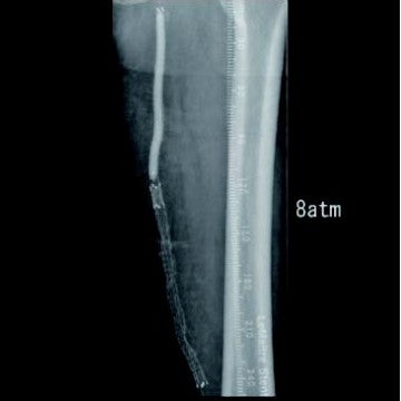
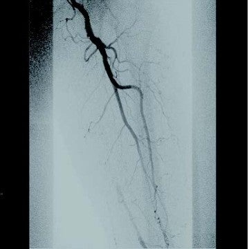
[背景] 左間欠性跛行で14年前に左SFAにベアナイチノールステント6 mm × 120 mm 2本が留置されている(図1)。約7年前に左間欠性跛行が増悪し、来院。外来での超音波検査でベアステントの完全閉塞を認めた(図2)。高度の跛行があり、再治療を実施した。
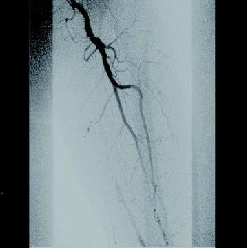
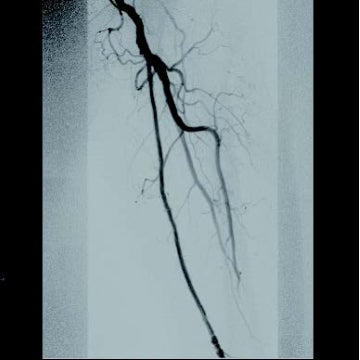
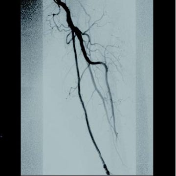
[治療] 右総大腿動脈(common femoral artery:CFA)を逆行性にエコーガイド下に穿刺。山越えで左 CFAまで6 Frガイディングシースを進めた。造影で左SFA起始部付近からベアステント遠位端のやや中枢側まで、TOSAKA分類3のISO病変があることを確認した。ところどころ病変が硬く、0.014 inchガイドワイヤーの先端2.8 gと先端12 gを順次使用して閉塞部位を突破した。PTAバルーン4 mm × 250 mmで前拡張したのち、病変部をカバーするように左SFA末梢側から左SFA起始部にかけてバイアバーン® ステントグラフト6 mm × 250 mmと6 mm × 100 mmを留置し、閉塞したベアステントをフルカバーした。バルーン5 mm × 220 mmで後拡張を実施、血管内超音波(IVUS)と造影で病変部の良好な拡張、血流を確認し手技を終了した(図3)。足関節上腕血圧比(ABI)は0.68から0.92に改善した。さらに6年が経過し、間欠性跛行の再燃があり、ステントグラフトは開存していたが(図4-1)、さらに末梢の膝窩動脈での石灰化プラークによる閉塞病変(図4-2)が原因と考えられた。アテレクトミーデバイスとDCBで膝窩動脈病変を治療して症状は消失した。run offが不良であったにもかかわらず、中枢側のステントグラフトが6年間開存していたことは特筆すべきことである。同患者については現在まで15年にわたり経過をみているが、経年的に動脈硬化が進んでおり、通常のステントやバルーンでの治療部は再治療を繰り返している。その中でステントグラフトを留置した長区間ISO病変は6年間開存を保っていたというのは、物理的に内膜過形成をシャットアウトするステントグラフトでしかみられない現象であると思われる。ISO病変に対するバイアバーン® ステントグラフトの使用が保険適用されるようになったことは、血管内治療医や患者に福音をもたらしたのではないだろうか。





- Bosiers M, Deloose K, Callaert J, et al. Superiority of stent-grafts for in-stent restenosis in the superficial femoral artery: twelve-month results from a multicenter randomized trial. Journal of Endovascular Therapy 2015;22(1):1-10.
- Soukas P, Becker M, Stark K, Tepe G; RELINE MAX Investigators. Three-year results of the GORE® VIABAHN® endoprosthesis in the superficial femoral artery for in-stent restenosis. Journal of the Society for Cardiovascular Angiography & Interventions 2023;2(6)Part A:101183
本資料に示される情報は完全なものではなく、すべての症例に適用できるものではありません。また、電子添文および各症例に関する医療関係者の専門的な判断の代替となるものでもありません。各患者への医療行為に関するすべての判断は、それを行う各医療関係者の責任に属するものであり、当社はこれらに関する判断、助言等を行うものではありません。
本ウェブサイトは医療関係者向けです。全ての禁忌、警告、使用上の注意および有害事象に関する詳細は電子化された添付文書(電子添文)を必ずご参照ください。電子添文は常に最新版であることを、こちらからご確認ください。
弊社製品のご使用にあたっては、一部を除いて、関連学会によって策定された適正使用指針に定められた資格要件を満たしていただく必要があり、さらに弊社が提供する教育プログラムの終了が必須となります。
販売名:ゴア® バイアバーン® ステントグラフト
承認番号:22800BZX00070000
一般的名称:ヘパリン使用中心循環系ステントグラフト