大動脈腸骨動脈EVTのラストピースは、トランスラディアルで行うゴア® バイアバーン® VBX バルーン拡張型ステントグラフト留置である

The final piece of aortoiliac EVT is GORE® VIABAHN® VBX Balloon Expandable Endoprosthesis placement via trans-radial artery.
本邦の大動脈腸骨動脈領域において、血管内治療(EVT)はすでに確立したものになりつつある。そしてその過程の中で、近年2つのターニングポイントが存在した。2017年に承認されたゴア® バイアバーン® VBX バルーン拡張型ステントグラフトおよび2019年から導入された新しいアクセスの潮流、トランスラディアル(橈骨動脈からのEVT)である。それまでの治療デバイスはベアメタルステントに限定され、より複雑な病変への治療にはいくつかの限界があったが、VBX ステントグラフトは石灰化病変を含めてゲームチェンジを行った1–3。トランスラディアルアクセスは、穿刺部合併症の少なさ4と、術後安静時間を短縮し、患者へのより “コンフォート” な治療へ直結する。今回、日本ゴア合同会社が発売したロープロファイルVBX デリバリーシステムは、ステントグラフト7 mm径サイズを6 Frシステム対応とし、シャフト長135 cmを有することで、トランスラディアルからのより複雑な病変に対する治療を可能とした。本稿では、その1例を紹介する。


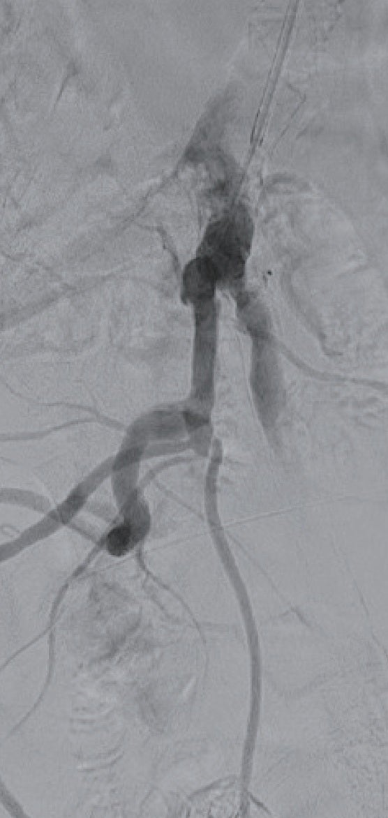
術前造影画像
最終造影画像
患者背景・病変背景
- 年齢:75 歳
- 性別:女性
- 対象病変部位:左外腸骨動脈(内腸骨動脈分岐部)高度石灰化亜閉塞
- リスク因子:高血圧、脂質異常症
- Rutherford 分類:3 度
- TASC* II 分類:A + 高度石灰化
使用デバイス
- シース:6 Fr ガイディングシース110 cm
- マイクロカテーテル:0.018 inch
- ガイドワイヤー:ガイドワイヤー
- 前拡張バルーン:3.0 × 40 mm、6.0 × 40 mm
- ステントグラフト:VBX ステントグラフト 7.0 × 39 mm(BXB073902J)
- 後拡張バルーン:8.0 × 40 mm
- その他:血管内超音波(IVUS)
治療戦略、治療内容
狭窄はないが高度石灰化があるため両側総大腿動脈からの穿刺を回避して左橈骨動脈アプローチを選択した。5 Frシースを留置後、型通りに腹部大動脈までシステムを下降させ造影を施行し、左外腸骨動脈起始部に高度石灰化病変を確認した(図1a)。
6 Frガイディングシースに変更しガイディングシースを左総腸骨動脈まで進めた。ガイドワイヤー通過は困難であったが、何とか0.014 inchガイドワイヤーを通過させて(図1b)、小径のバルーンで拡張後、IVUSで病変を評価した(図2)。全周性の表在型石灰化病変であり、通常のベアメタルステントでは拡張できないことが想定され、また内腸骨動脈との分岐部直下に置けるため、ステントグラフトの適応と判断した。6.0 × 40 mmのバルーンで拡張後、6 Frシステム対応のVBX ステントグラフト7.0 × 39 mmを留置、8.0 × 40 mmのバルーンで後拡張を実施(図3)した。IVUSで十分な血管内腔の確保を確認し(図4)、最終造影を行い、治療を終了した。穿刺からシース抜去までの手技時間は38分で、患者は車椅子で退室し、ベッド上の安静時間はゼロであった。足関節上腕血圧比(ABI)は術前の0.70から1.02まで上昇した。



図2
図4
一連の動画再生
*TASC: TransAtlantic Inter-Society Consensus
- Fujihara M, Takahara M, Yamaoka T, et al. Clinical outcomes of endovascular procedure using VIABAHN® VBX covered stent in complex aortoiliac artery disease: Result from AVOCADO study. Catheterization & Cardiovascular Interventions 2021;98(5):928-937.
- Tomoi Y, Takahara M, Soga Y, et al. ADOCADO [sic] II Investigators. Clinical outcome of endovascular therapy using a VIABAHN VBX-covered stent for complex aortoiliac artery disease: the AVOCADO II study. Heart & Vessels 2023:1288-1297.
- Maeda K, Kobayashi T, Emura S, et al. Medium-term outcomes of treatment with a VIABAHN VBX covered stent for aortoiliac occlusive lesions in patients with peripheral artery disease. Annals of Vascular Surgery 2024;105:201-208.
- Horie K, et al. Comparing the Safety and Feasibility of Endovascular Therapy via Transradial and Transfemoral Approaches in Patients with Aortoiliac Occlusive Disease: A Propensity Score-Matched Analysis of the Nationwide Registry. Journal of Endovascular Therapy. Published online July 21, 2023. doi:10.1177/15266028231187625
本資料に示される情報は完全なものではなく、すべての症例に適用できるものではありません。また、電子添文および各症例に関する医療関係者の専門的な判断の代替となるものでもありません。各患者への医療行為に関するすべての判断は、それを行う各医療関係者の責任に属するものであり、当社はこれらに関する判断、助言等を行うものではありません。
本ウェブサイトは医療関係者向けです。全ての禁忌、警告、使用上の注意および有害事象に関する詳細は電子化された添付文書(電子添文)を必ずご参照ください。電子添文は常に最新版であることを、こちらからご確認ください。
弊社製品のご使用にあたっては、一部を除いて、関連学会によって策定された適正使用指針に定められた資格要件を満たしていただく必要があり、さらに弊社が提供する教育プログラムの終了が必須となります。
販売名:ゴア® バイアバーン® VBX バルーン拡張型ステントグラフト
承認番号:22900BZX00309000
一般的名称:ヘパリン使用中心循環系ステントグラフト