ケースレポート
ゴア® ドライシール フレックス イントロデューサシース

Shaggy aortaを合併した遠位弓部大動脈瘤に対するTEVAR
– 65 cm ゴア® ドライシール フレックス イントロデューサシースとゴア® TAG® コンフォーマブル 胸部大動脈ステントグラフト アクティブコントロールシステムの有用性 –

本症例のポイント
高度粥状硬化を伴う大動脈病変(shaggy aorta)に対して胸部大動脈ステントグラフト内挿術(TEVAR)を行う際は塞栓症をいかに避けるかが重要なポイントとなる。体外循環回路や血栓回収フィルターを用いた方法も報告されているが1,2、高度な技術を必要とする。当科では65 cm ゴア® ドライシール フレックス イントロデューサシースを用いて2本のゴア® TAG® コンフォーマブル 胸部大動脈ステントグラフト アクティブコントロールシステムを「Stepwise」に留置していく方法(Minimal manipulation approach:図1)を行うことで塞栓症の予防に努めており3、これを紹介する。

症例
症例は 78歳、男性。拡大傾向のある遠位弓部大動脈瘤(紡錘状動脈瘤、最大径56 mm)を認めている。大動脈弓部から腹部大動脈に至るまでの胸部大動脈全域に毛羽立ちながら突出している壁在血栓を認めるshaggy aorta症例であった。
左総頸動脈起始部から動脈瘤までの距離が20.1 mmであり、Zone 2 TEVARでの治療方針となった(図2)。
まず、両側腋窩動脈を露出し、8 mm人工血管で右腋窩動脈−左腋窩動脈バイパスを作成。左上腕動脈を穿刺し、6 Frロングシース(Flexor® Ansel ガイディングシース、Cook)を左鎖骨下動脈まで進め、その中に5.2 Frバルーンカテーテル(Selecon MP Catheter II、Terumo)を挿入。左椎骨動脈の起始部の中枢でバルーンを拡張させ、左鎖骨下動脈プロテクションを行った。
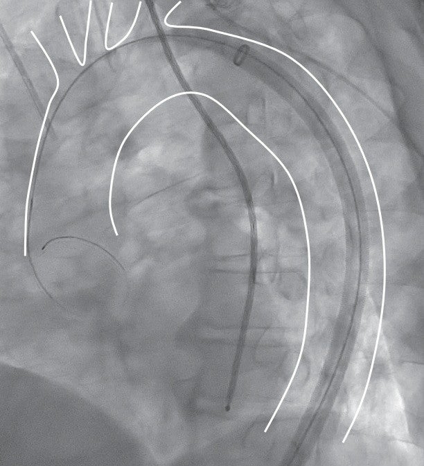
右大腿動脈から6 Frシースを挿入後、上行大動脈までカテーテルを進め、ガイドワイヤーを硬質ガイドワイヤー(EGoist、 Ultimate、 Arch Curve、Medicos Hirata)に交換した。65 cmドライシール フレックス イントロデューサシースをゆっくりと先進させ、大動脈の頂部近くにダイレーターの先端が到達したところまで挙上する(図3a)。
その後にシース外筒のみを約3 cm弱ほど挙上させると大動脈頂部近くまでドライシール フレックス イントロデューサシースが到達する。約3 cmまでであればシース外筒とダイレーターとの段差なく進めることが可能である(図4a, b)。





ドライシール フレックス イントロデューサシース内に1本目のTAG® コンフォーマブル ステントグラフト(TGM343410J)を挿入し、ドライシール フレックス イントロデューサシースをEVAR時のように抜退して(図 3b)、大動脈頂部(Zone 3近く)から末梢のランディングゾーンまでステントグラフトでカバーするように静かに展開する。シースとステントグラフトで「 鋪装 」された経路を通して中枢用の2本目のTAG® コンフォーマブル ステントグラフト(TGMR404015J)をZone 2まで先進させ、左鎖骨下動脈バルーンプロテクション下にゆっくり展開して、予定したデバイスを留置した(図5a, b)。
最後に左鎖骨下動脈のバルーンプロテクションを継続したまま、Selecon MP Catheter II内にマイクロカテーテルを挿入し、左鎖骨下動脈の起始部をコイルで塞栓した。


術後経過
手術室で抜管し、脳梗塞、対麻痺、および腹部下肢の血栓塞栓症は認めなかった。術後1年半で重症大動脈弁狭窄症に対する経カテーテル大動脈弁留置術および下行大動脈嚢状動脈瘤への追加TEVARを施行した。2024年7月執筆時点で3年が経過するが、CT上エンドリークおよび瘤径拡大なく外来通院している。
考察
TEVARにおいて最も塞栓子が飛散するのは、デバイスの展開時であることが示唆されている4。
本症例で用いたアプローチでは表面が平滑なドライシール フレックス イントロデューサシースを治療予定部近くまで進めておき、粥状硬化の強い近位下行大動脈の大部分を「Windsock effect」が少ないと思われるTAG® コンフォーマブル ステントグラフトでカバーすることで壁在血栓とシース又はデバイスの摩擦を最小限とすることが狙いである。エビデンスはないが、TAG® コンフォーマブル ステントグラフトの独特の展開様式(末梢側から展開するので粗大な塞栓子は末梢に飛散しない)も塞栓症予防には有利になると考えている。
上記に加え当科ではZone 1, 2 TEVAR留置時には脳血管合併症予防のため左鎖骨下動脈のバルーンプロテクションを用いている。
本アプローチの利点は簡便かつ再現性が比較的高いことであり、大腿腸骨動脈のアクセス径が十分に確保できる症例には一つの選択肢となると考える。
一連の手技の流れ
- Shimamura K, Kuratani T, Kin K, Shijo T, Masada K, Sawa Y. Effectiveness of embolic protection filter devices in stroke prevention during endovascular aortic arch repair in significant aortic atheroma patients. Interactive CardioVascular & Thoracic Surgery 2019;28(6):974-980.
- Tsuda K, Washiyama N, Takahashi D, Shiiya N. Functional brain isolation technique for stroke prevention in thoracic endovascular aortic repair. European Journal of Cardio-Thoracic Surgery 2021;60(2):420-422.
- Kawajiri H, Kobayashi T, Manabe K, Kanda K, Numata S. Utilizing a long sheath to minimize atheroma manipulation (minimal manipulation approach) during Zone 1 and 2 thoracic endovascular aortic repair with a shaggy aorta. Journal of Artificial Organs. Article in Press.
- Perera AH, Rudarakanchana N, Monzon L, et al. Cerebral embolization, silent cerebral infarction and neurocognitive decline after thoracic endovascular aortic repair. British Journal of Surgery 2018;105(4):366-378.
本資料に示される情報は完全なものではなく、すべての症例に適用できるものではありません。また、電子添文および各症例に関する医療関係者の専門的な判断の代替となるものでもありません。各患者への医療行為に関するすべての判断は、それを行う各医療関係者の責任に属するものであり、当社はこれらに関する判断、助言等を行うものではありません。
本ウェブサイトは医療関係者向けです。全ての禁忌、警告、使用上の注意および有害事象に関する詳細は電子化された添付文書(電子添文)を必ずご参照ください。電子添文は常に最新版であることを、こちらからご確認ください。
弊社製品のご使用にあたっては、一部を除いて、関連学会によって策定された適正使用指針に定められた資格要件を満たしていただく必要があり、さらに弊社が提供する教育プログラムの終了が必須となります。
販売名:ゴア®ドライシール フレックス イントロデューサシース
承認番号:22800BZX00461000
一般的名称:心臓用カテーテルイントロデューサキット
販売名:ゴア®CTAG胸部大動脈ステントグラフトシステム
承認番号:22500BZX00427000
一般的名称:大動脈用ステントグラフト